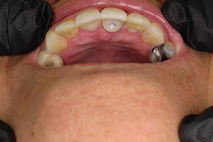
Tefball is a purpose-built interface designed for sealing implant screw access holes during single-implant restorations. Developed as a cleaner and more efficient alternative to traditional materials, Tefball is easy to place, simple to remove, and designed with hygiene in mind.
Tefball Features:
Easy Placement & Retrieval
Tefball is designed for quick insertion and easy removal during implant restoration procedures, helping simplify clinical workflow and reduce chair time.
Designed for a More Hygienic Restoration Process
Unlike cotton pellets, tape, or sponge materials that can absorb moisture and harbor bacteria, Tefball is designed to provide a cleaner interface between the implant screw channel and restorative material.
Reliable Interface Material
Tefball acts as a barrier between the implant screw access hole and composite filling, supporting a cleaner and more predictable restorative process.
Helps Reduce Odor & Bacteria Buildup
Traditional materials can trap moisture over time, often resulting in unpleasant odors when reopening the screw access channel. Tefball was developed to help minimize this common issue.
Durable & Efficient
Its unique physical design and material composition allow for easier handling, durability, and efficient retrieval during procedures.
Product Specifications
- Package includes 20 Tefballs
- Sterile glass storage vial included